Biochemical and histopathological indicators of postmortem interval estimation in freshwater drowning: an integrative forensic approach (an experimental study)
- Authors: Aflanie I.1, Nurikhwan P.W.1, Habibah A.U.1, Rahmadina N.A.1, Oktaviyanti I.K.1
-
Affiliations:
- Lambung Mangkurat University
- Issue: Vol 11, No 3 (2025)
- Pages: 223-235
- Section: Original study articles
- Submitted: 11.04.2025
- Accepted: 22.09.2025
- Published: 12.11.2025
- URL: https://nginx.mia-letum.ru/subscr/article/view/16288
- DOI: https://doi.org/10.17816/fm16288
- EDN: https://elibrary.ru/EQLHGO
- ID: 16288
Cite item
Abstract
BACKGROUND: Accurate estimation of post-mortem intervals in drowning cases remains challenging in forensic investigations due to limited reliable biochemical and histopathological markers, particularly in freshwater environments.
AIM: To evaluate the biochemical (blood glucose, muscle glycogen, and lactate dehydrogenase activity) and histopathological (lung tissue damage) indicators for estimating postmortem interval in freshwater drowning as part of an integrative forensic approach.
METHODS: This study is an experimental, randomized controlled study. Thirty male Sprague–Dawley rats (average weight 200–250 g) were divided into five groups: one control group and four drowning groups observed at intervals of 30, 60, 90, and 120 min post-mortem. This study evaluates metabolic parameters, including blood glucose, muscle glycogen, lactate dehydrogenase enzyme activity, and lung histopathology.
RESULTS: Biochemical analysis revealed a significant progressive decline in glucose (p < 0.01) and glycogen levels (p < 0.001) and a substantial increase in lactate dehydrogenase enzyme activity (p < 0.001) over time. Regression analyses showed strong predictive relationships (R²: glucose = 0.88, glycogen = 0.98, lactate dehydrogenase = 0.75). Effect sizes (Cohen’s d) were very large for all biochemical parameters (glucose = 5.19, glycogen = 10.12, lactate dehydrogenase = 17.73). Histopathological examination revealed a clear, time-dependent progression of lung tissue damage, from mild interalveolar septum thickening to severe edema, hemorrhage, and inflammation, correlating with biochemical changes.
CONCLUSION: These integrated biochemical and histopathological findings provide forensic investigators with reliable and objective biomarkers to more precisely estimate post-mortem intervals in freshwater drowning cases. Clinically, the identified markers could inform assessment and management of near-drowning patients, guiding therapeutic interventions aimed at mitigating lung injury and metabolic disorders.
Keywords
Full Text
BACKGROUND
Banjarbaru the capital of South Kalimantan, is known for its extensive river and wetland environments (−3.3167° S, 114.5833° E). The city’s rivers range from the shortest, Belasung river (95 m), to the longest, Barito river (11,500 m). Although these rivers support local economic and social activities, they increase drowning risks, particularly in densely populated areas with limited monitoring [1]. Globally, drowning causes approximately 388,000 deaths annually, ranking as the third-leading cause of accidental death [2]. Ulin Regional Hospital report a 10-15% annual increase in drowning fatalities compared to 2010 [3].
A victim who drowns in a river undergoes physiological and histopathological changes different from those caused by drowning in seawater due to the hypotonic properties of freshwater. Hypotonicity results in rapid absorption of water by the body and its distribution to tissues. Individuals who drown in freshwater experience substantial fluid absorption, extensively affecting cellular and systemic balance [4]. Additionally, the influx of fluid elevates cellular osmotic pressure, leading to the loss of normal cellular function [5]. Water entering the lungs causes asphyxia resulting in hypoxia. Cellular metabolism shifts from aerobic to anaerobic pathways, producing only two adenosine triphosphate (ATP) molecules via anaerobic metabolism. Low ATP reduces energy supply to cells and tissues, triggering glycogen breakdown in the liver and muscles and activating pancreatic amylase, which breaks down polysaccharides to glucose [6]. According to Girela-López et al., muscle degeneration, myofibrillar disorganization, and mitochondrial abnormalities are observed in cases of drowning. These mitochondrial dysfunctions disrupt ATP synthesis, which is essential for muscle contraction and movement, highlighting the critical role of mitochondrial integrity in maintaining normal muscular function [7]. Maeda et al. (2009) reported postmortem biochemical findings related to lung weight in drowning cases, highlighting differences between saltwater and freshwater drowning, but not a direct correlation with immersion duration [8].
Determining post-mortem intervals (PMI) is a critical yet challenging task in forensic pathology, particularly in drowning incidents. Current forensic guidelines often lack specific biochemical and histopathological markers, especially in freshwater drowning scenarios. Integrating metabolic markers, such as glucose, glycogen, and lactate dehydrogenase (LDH)—a common hypoxia indicator—with histopathological assays could significantly enhance PMI accuracy. However, their changes and relationship to tissue changes are understudied in literature.
AIM
To evaluate the biochemical (blood glucose, muscle glycogen, and lactate dehydrogenase activity) and histopathological (lung tissue damage) indicators for estimating postmortem interval in freshwater drowning as part of an integrative forensic approach.
METHODS
Study design
This study is an experimental, randomized controlled examining biochemical and histopathological markers used to estimate post-mortem intervals (PMI) in freshwater drowning.
In this study we tried to identify whether these biochemical and histopathological markers can reliably predict PMI in freshwater drowning cases. Primary hypothesis was that glucose and glycogen levels decrease progressively; whereas LDH activity and lung tissue damage increase with long post-mortem intervals.
Independent variables included the duration of the post-mortem interval (0, 30, 60, 90, and 120 min). Dependent variables were biochemical parameters (blood glucose, muscle glycogen, and LDH activity) and histopathological severity of lung tissue damage.
Eligibility criteria
The inclusion criteria were healthy male, specified pathogen-free (SPF) Sprague–Dawley rats aged 7–8 weeks, weighing approximately 200–250 g.
The non-inclusion criteria: rats with visible signs of illness or abnormalities; animals not meeting the weight and age criteria.
Exclusion criteria: animals showing health issues during acclimatization were not included in the study to maintain homogeneity and reliability.
Study setting
The study was conducted at the Animal Experiment Center of Universitas Lambung Mangkurat, Banjarmasin, South Kalimantan, Indonesia. This center provided controlled environmental conditions suitable for experimental animal study. The city’s unique geographical setting with extensive river networks provides an essential social, economic, and cultural context for understanding freshwater drowning incidents. These local environmental conditions influence external generalizability, including forensic relevance in similar tropical freshwater environments.
Study duration
The study was conducted from February 2024 to April 2024, including the initial animal acclimatization (one week), experimental procedures (including animal drowning simulations), biochemical assays, histopathological examination, and data analysis. Intermediate checkpoints included sample collection at 30, 60, 90, and 120-minute intervals post-mortem. No significant deviations from the initial study duration were reported.
Intervention
Acclimatization phase
Thirty white rats were divided into five groups of six rats each. Each group was housed in separate cages to facilitate adaptation over a one-week period. During the acclimatization phase, all rats received a uniform diet and hydration regimen consisting of C-05 pellets and tap water. Prior to treatment, the rats were fasted for 1–2 h to ensure that their gastrointestinal tract was emptied.
Experimental phase
Treatment was conducted for each group as described below. The P0 group, which consisted of rats that were not submerged in water, was the control group. In four groups (P1–P4), animals were immersed in river water until death (approximately 10 min), after which they were left in the water for another 30, 60, 90, and 120 min, respectively. All animals were anesthetized using inhalation anesthesia prior to submersion. Isoflurane was administered as the anesthetic agent, with an induction concentration of 3–4% delivered in oxygen at a flow rate of 1–1.5 L/min, followed by a maintenance concentration of 2% to sustain a stable anesthetic depth. Adequate anesthesia was confirmed through the complete loss of righting and pedal withdrawal reflexes. After anesthetizing the animals were immersed directly in freshwater to induce drowning.
The onset of death was recorded as the time when animals became completely unresponsive to stimuli, including the spontaneous respiration and heartbeat arrest (verified by auscultation and observation). The average time from immersion to death was approximately 8–12 min and this period was relatively consistent across animals, with variations of no more than 2 min. After death was confirmed, drowning procedures were completed. Following these treatments, all groups of animals were euthanized using intraperitoneal injection of ketamine at a dose of 250 mg/kg BW and then blood, limb muscle, and lung tissues were collected for analysis. Subsequently, LDH activity, blood glucose concentration, and glycogen content in muscle tissue were assessed, and a histological examination of lung tissue was performed.
Main study outcome
The primary endpoint of this study was the accurate determination of reliable biochemical and histopathological markers of post-mortem intervals (PMI) in freshwater drowning cases. The study specifically analyzed biochemical indicators (glucose, glycogen, and lactate dehydrogenase [LDH] activity) together with histopathological alterations in lung tissues.
Additional study outcomes
Additional outcomes included detailed histopathological characterization and the statistical validation of metabolic and cellular damage.
Subgroup analysis
Depending on the time spent in the water after death, the animals were divided into five groups:
- Group P0 — control;
- Group P1 — animals spent 30 minutes in the water;
- Group P2 — animals spent 60 minutes in the water;
- Group P3 — animals spent 90 minutes in the water;
- Group P4 — animals spent 120 minutes in the water.
After the specified time, LDH activity, glucose concentration, glycogen content, and histological changes in the lung tissue were analyzed.
Outcome registration
The primary biochemical outcomes—blood glucose, muscle glycogen, and lactate dehydrogenase (LDH) enzyme activity—were quantitatively assessed using standardized laboratory methods.
Measurement of LDH enzyme activity
Blood samples (approximately 0.02 mL) were used to determine lactate dehydrogenase (LDH) levels. For this assay, 1 mL of Liquiform LDH® (Labtest, Brasil, product code: 86) was used. A total of 60 LDH measurements were performed from 30 rats. Each blood sample was analyzed in two technical replicates (duplicate readings) to increase the accuracy of the results, A total of 21 LDH reagent kits were used for the entire analysis.
Measurement of blood glucose levels
To measure blood glucose, a blood volume of approximately 0.01 mL per sample is required. Blood samples were taken once from each mouse. Each sample was analyzed in two technical replicates using Glucose Liquiform® (Labtest, Brasil, product code 133; 1 mL per measurement). Therefore, a total of 60 glucose measurements were performed. With a requirement of ~1 mL per measurement, one 500 mL bottle of reagent was sufficient for all analyses. A volume of 10 mL was added to a test tube, which was subsequently mixed with 20 μL of 500 mM glucose solution in 970 μL PBS and shaken thoroughly to ensure homogeneity. The mixture was incubated for one hour. Following incubation, centrifugation was performed at 1500 rpm for 10 min. From the supernatant, 25 μL was collected and mixed with 225 μL of a 25 mM glucose solution in a 1:10 PBS dilution. Next, 2.25 μL of cold 4% formaldehyde solution was added and the mixture was centrifuged again at 1500 rpm. Then, the red blood cell sediment was lysed using 2.25 mL of distilled water. The lysate was allowed to stand at room temperature for approximately 20 min before another centrifugation run for 10 min at 1500 rpm. Finally, 10 μL of the red blood cell sample was mixed with 1 mL of BIOSYSTEMS glucose assay reagent A and incubated for 5 min. The absorbance was measured at a wavelength of 505 nm.
Measurement of muscle glycogen
To measure muscle glycogen, the method developed by Lo et al. was used [9, 10]. Muscle tissue samples (±1 g) were taken from the hindlimb of each mouse (n = 30). Muscle tissue samples were dried overnight in an oven at 50°C, then ground into a fine powder. 30 mg of the powdered sample was extracted with 1 mL of 30% potassium hydroxide (KOH) solution, incubated in a boiling water bath for 20 min, and allowed to cool to room temperature. Then, 1 mL of cold 95% ethanol was added to the sample tube and the mixture was stored at 4 °C for 30 min. Centrifugation was performed for 20 min at 2500 rpm to separate the glycogen precipitate from the samples. The obtained precipitate was diluted with distilled water (1 mL of distilled water). The muscle sample (100 µL) was mixed with 3 mL of 0.2% (w/v) phenol-sulfuric acid until heating. The green color indicates a positive result for glycogen. The change in color was subsequently measured using a spectrophotometer at a wavelength of 620 nm.
Histopathological examination
Following the treatment phase, the lung tissues from each experimental group were collected for histopathological examination. The lungs were carefully excised and immediately fixed in 10% neutral-buffered formalin for 24 h to preserve tissue architecture. After fixation, the tissues were processed using a standard paraffin-embedded technique. Thin sections (4–5 µm) were cut using a microtome and mounted on glass slides.
The slides were then stained with hematoxylin and eosin (H&E) to assess histopathological changes under light microscopy. We evaluated the following histological parameters:
- Thickening of the interalveolar septum to determine structural alterations;
- Degree of alveolar edema as an indicator of fluid accumulation;
- Inflammatory cell infiltration to quantify the immune response; and
- Hemorrhage and bronchial fluid to assess vascular damage and tissue degradation.
Histopathological findings were categorized based on the degree of damage: none, mild, moderate, or severe. Representative images from each group were documented to illustrate the progression of tissue damage corresponding to the post-mortem intervals. These examinations were performed independently by two experienced pathologists to ensure consistency and to minimize observer bias.
Ethics approval
The study protocol was reviewed and approved by the Ethical Committee of the Department of Medicine, Universitas Lambung Mangkurat. (protocol No. 007/KEPK-FKIK ULM/EC/II/2024 on February 02, 2024).
Statistical analysis
Sample size calculation. A sample size calculation was not conducted prior to the study; the sample size was selected based on standard practices and guidelines on similar experimental designs in preclinical forensic research involving animal models.
Statistical data analysis. Statistical processing was performed using IBM SPSS Statistics v. 26 (IBM Corp., USA). Data were presented as mean ± standard deviation (SD). Statistical differences between groups were analyzed using one-way ANOVA followed by Tukey’s honest significant difference test for paired comparisons. Pearson correlation test and linear regression analyses were used to determine the strength and predictive relationships between post-mortem intervals and biochemical markers. Effect sizes were calculated using Cohen’s d to evaluate the magnitude of biochemical changes from baseline. A p-value of < 0.05 was considered statistically significant.
RESULTS
Participants
This experimental study included a total of 30 male Sprague–Dawley (SD) rats, aged 7–8 weeks, with a mean body weight of approximately 200–250 g, provided by the Animal Experiment Center, Department of Medicine, Universitas Lambung Mangkurat, Banjarmasin, Indonesia. Animals were randomized into 5 experimental groups (n = 6 per group), including one control group (no drowning intervention) and 4 experimental groups subjected to drowning. All rats underwent standard acclimatization procedures before the study.
Primary results
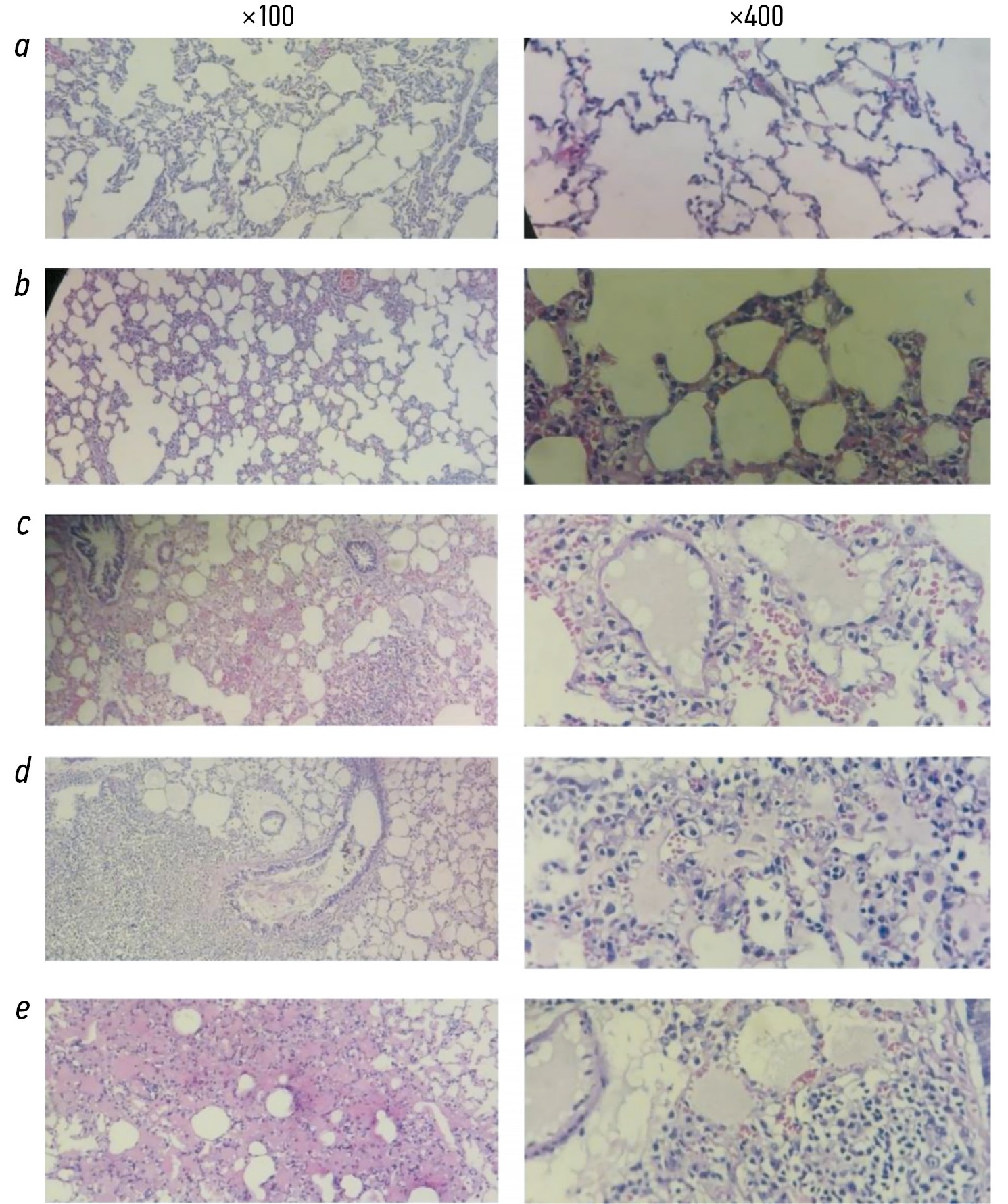
Histopathological examination revealed clear, time-dependent progression of lung tissue damage following drowning (see Fig. 1). In the control group (P0), lung tissues remained intact, without noticeable histological changes. At 30 min (group P1), most samples displayed mild histopathological changes, characterized primarily by slight interalveolar septum thickening and mild inflammatory cell infiltration. At 60 min post-mortem (group P2), lung tissue exhibited moderate damage, including clear septal thickening, moderate alveolar edema, inflammatory cell infiltration, localized hemorrhage, and bronchial fluid accumulation. At 90 min (group P3), the damage intensified with widespread moderate-to-severe alveolar edema, extensive septal thickening, dense inflammatory cell infiltration, and pronounced bronchial fluid accumulation. At 120 min (group P4), nearly all samples showed severe histological deterioration marked by extensive alveolar edema, severe inflammatory response, widespread hemorrhage, and pronounced structural degradation. These histopathological findings show a clear correlation between PMI duration and severity of lung damage.
Fig. 1. Histopathological examination of rat lungs revealed progressive damage: a — in P0 (control group), the alveolar structures appeared to be normal; b — in P1 (30 min), mild septal thickening and mild edema were observed; c — P2 (60 min) showed moderate edema and hemorrhage; d — P3 (90 min) showed severe edema and bronchial fluid accumulation; e — in P4 (120 min) with massive edema, dense inflammation, extensive hemorrhage, and tissue destruction.
Biochemical assays revealed significant, time-dependent changes in glucose, glycogen, and LDH activity following drowning. Glucose decreased progressively with increasing PMI (see Fig. 2). Initial glucose at baseline (group P0) averaged 93.86 mg/dL, decreased significantly to 89.37 mg/dL at 30 min (p = 0.033) and decreased again to 78.69 mg/dL at 120 min post-mortem (p < 0.001).
Fig. 2. Biochemical changes demonstrating significant predictive relationships between PMI and biochemical markers.
Muscle glycogen also showed a marked decline correlated to PMI (see Fig. 2). The average basal glycogen was 414.84 mg/g dry tissue (group P0), decreasing significantly to 386.72 mg/g dry tissue at 30 minutes post-mortem (p = 0.009) and then continuing to decrease to 281.84 mg/g dry tissue at 120 minutes (p < 0.001).
Conversely, LDH activity showed an exponential increase over time post-mortem (see Fig. 2). Baseline LDH activity (220 U/L) remained relatively stable during the initial 60-minute interval, followed by a rapid increase, reaching 482 U/L at 120 minutes post-mortem (p < 0.001).
Comprehensive statistical analysis confirmed robust and highly significant correlations between PMI and biochemical parameters. Pearson’s correlation coefficients were strongly negative for glucose (r = –0.94; p < 0.001) and glycogen (r = –0.99; p < 0.001) and strongly positive for LDH (r = 0.87; p < 0.001).
Table 1 and Fig. 2 summarize these biochemical changes, showing the time-dependent depletion of glucose and glycogen, alongside the significant increase in LDH over the observed intervals.
Table 1. Glucose, glycogen, and lactate dehydrogenase | ||||||
Time | Glucose (mg/dL) (Mean ± SD) | p-value (compared to baseline) | Glycogen (mg/g) (Mean ± SD) | p-value (compared to baseline) | LDH (U/L) (Mean ± SD) | p-value (compared to baseline) |
0 (baseline) | 93.86±3.50 | — | 414.84±15.20 | — | 220±12.30 | — |
30 | 89.37±2.75 | 0.033* | 386.72±14.90 | 0.009** | 232±10.75 | 0.102 |
60 | 87.78±3.10 | 0.010* | 352.74±11.50 | <0.001** | 243±11.60 | 0.008** |
90 | 86.92±2.90 | 0.004** | 335.32±13.30 | <0.001** | 305±14.40 | <0.001** |
120 | 78.69±2.20 | <0.001** | 281.84±10.70 | <0.001** | 482±16.90 | <0.001** |
r | −0.939 | <0.001** | −0.988 | <0.001** | 0.868 | <0.001** |
Cohen’s d | 5.19 | — | 10.12 | — | 17.73 | — |
Note. Quantitative data are presented as M±SD, where M is the mean value and SD is the standard deviation. The p-value is indicated when comparing the obtained data with the baseline values. * — statistically significant differences, p < 0.05; ** — differences with a high level of statistical significance, p < 0.01. | ||||||
Regression analyses further reinforced these findings (see Table 2), demonstrating significant predictive relationships between PMI and biochemical markers. Specifically, glucose levels showed a significant linear decrease over time indicative of progressive metabolic failure post-mortem. Glycogen displayed an even stronger linear relationship, decreasing substantially with increased PMI, reflecting extensive depletion of energy reserves. In contrast, LDH activity significantly increased, following a strong linear trend, which is consistent with enhanced anaerobic metabolism and autolytic enzyme release during tissue degradation.
Table 2. Regression analyses | |||
Parameter | Slope (Coefficient) | Intercept | R² (Model Strength) |
Glucose | −0.109 | 93.882 | 0.88 (высокая) |
Glycogen | −1.058 | 417.772 | 0.98 (очень высокая) |
LDH | 1.990 | 177.000 | 0.75 (высокая) |
Secondary results
Secondary observations reinforced the consistency and reliability of the biochemical markers in estimating post-mortem intervals. Effect size analysis (Cohen’s d) confirmed substantial and clinically relevant biochemical changes at 120 min (glucose d = 5.19, glycogen d = 10.12, LDH d = 17.73), emphasizing the pronounced metabolic disturbances associated with drowning.
Adverse events
No adverse events, such as unexpected injuries, adverse medical events, illnesses, or emergency surgical interventions, were observed during the experiment. All animal handling and experimental interventions proceeded as initially planned, with no complications reported throughout the study.
DISCUSSION
Summary of primary results
This study showed significant biochemical and histopathological changes following freshwater drowning in a rat model, establishing glucose, glycogen, and lactate dehydrogenase (LDH) as reliable biomarkers for estimating the PMI. Specifically, glucose and glycogen levels significantly decreased, while LDH activity markedly increased over progressive post-mortem intervals. Concurrent histopathological examinations revealed a clear time-dependent progression from mild to severe lung tissue damage, highlighting a strong correlation between biochemical and tissue responses. Collectively, these results support the feasibility of integrating biochemical assays and histopathological examinations to enhance the accuracy and reliability of forensic PMI estimations in drowning cases.
Interpretation
This study provides a detailed investigation of post-mortem biochemical and histopathological changes associated with drowning, with a particular focus on riverine environments. The study has an integrative analytical framework, simultaneously assessing multiple biochemical markers—glucose, glycogen, and LDH enzyme activity—alongside meticulous histopathological examination of lung tissue at various intervals post-mortem. Previous forensic studies often focused only on single or isolated parameters [11, 12]; thus, this integrative approach is a significant methodological advancement, enhancing the precision and reliability of PMI estimates in forensic investigations of drowning [13, 14].
The biochemical assays conducted in this study clearly demonstrated obvious, time-dependent metabolic changes following drowning. Both glucose and glycogen showed marked reductions as post-mortem intervals increased, reflecting the progressive depletion of essential energy reserves after death. This pattern aligns with the physiological arrest of oxidative metabolism and subsequent reliance on anaerobic metabolic pathways, resulting in rapid utilization and eventual exhaustion of these energy sources. Similar observations were reported by B. Madea [15], who noted glucose depletion associated with anaerobic metabolic shift post-mortem. Further validating the reliability of these biomarkers. N. Tani et al. [16] demonstrated that postmortem water content in major organs, particularly lungs and kidneys, can help differentiate freshwater drowning from seawater drowning, which may assist in forensic interpretation. In addition, LDH activity increased exponentially over time, indicating significant metabolic shifts associated with cellular autolysis and intensified anaerobic glycolysis. This pronounced increase in LDH activity suggests enhanced permeability of compromised cellular membranes, facilitating the release of intracellular enzymes into extracellular spaces. Similar exponential increases in LDH activity post-mortem have been documented in previous forensicstudy S. L. Belsey et al. [17], reinforcing its potential as a reliable biochemical marker for PMI estimation.
The substantial effect sizes (Cohen’s d > 5.0 for all markers at 120 min) demonstrate that the observed biochemical shifts are both statistically significant and biologically relevant. Thus, forensic pathologists and investigators can apply these metabolic markers in post-mortem examinations to more accurately estimate time since death, particularly in cases involving aquatic environments where conventional histopathological indicators may be compromised. Additionally, these biochemical markers could complement or potentially replace current forensic methodologies that are heavily reliant on subjective histological interpretations, thereby reducing uncertainty and enhancing objectivity in PMI estimations.
Histopathological findings supplemented the biochemical findings, revealing a distinct chronological progression of lung tissue damage following drowning. Initially, mild histological alterations, such as mild thickening of the interalveolar septum, were noted at early post-mortem intervals. These alterations progressed to moderate and, subsequently, severe histopathological damage characterized by prominent edema, widespread hemorrhage, significant inflammatory cell infiltration, and extensive bronchial fluid accumulation [16]. Similarly, B.J. McEwen et al. [18] noted that lung lesions in drowning cases are variable in location, severity, and type, even in a single histological section, without establishing a direct temporal relationship to immersion time. Importantly, these sequential histopathological transformations provide forensic pathologists with tangible and reliable indicators to more accurately estimate submersion duration and death time, enhancing the accuracy of post-mortem investigations in drowning cases.
Clinically, the identified markers could also inform resuscitation and post-resuscitation protocols for near-drowning patients by offering insights into metabolic and tissue damage severity. This could improve clinical assessments, guide targeted therapeutic interventions, and potentially improve patient survival and recovery outcomes. Furthermore, understanding the progressive lung damage after submersion can guide emergency physicians and intensive care specialists in early detection and management of drowning-related respiratory complications, ultimately contributing to improved patient care and prognosis.
Study limitations
However, this study has several limitations. First, Sprague–Dawley (SD) rats used as the experimental model inherently hinder the direct extrapolation of findings to human forensic settings due to significant physiological and biochemical differences of the species. Therefore, cautious interpretation and subsequent validation in human studies are required to ensure forensic applicability. Second, despite comprehensive biochemical profiling, the study did not examine other potentially relevant markers, such as lactate, oxidative stress indicators, or inflammatory mediators, which could provide further insight into the post-mortem biochemical dynamics. Finally, the study overlooked other critical environmental factors, such as microbial contamination, heavy metal concentrations or additional pollutants, which could significantly affect post-mortem biochemical and histopathological profiles.
Future research should focus on addressing these limitations by conducting larger-scale studies involving human tissues, using an expanded range of biochemical markers, and a broader environmental assessment involving microbial and chemical pollutants. Future studies should verify these findings in diverse aquatic environments and conditions to enhance the reliability and forensic applicability of this integrative approach.
CONCLUSION
This study demonstrated the forensic utility of biochemical markers (glucose, glycogen, and LDH) and associated lung histopathological alterations to accurately estimate PMI in freshwater drowning cases. The identified biochemical and histopathological markers significantly improve the objectivity and accuracy of PMI estimation in forensic drowning investigations, addressing current methodological limitations. By specifying the chronological progression of biochemical alterations and lung tissue injury post-drowning, this study provides hands-on quantifiable and potentially reliable markers for forensic professionals. These results also open opportunities to update clinical practices in near-drowning patient care, potentially guiding medical interventions aimed at reducing metabolic disorders and lung injury severity. However, further research is required to validate these forensic biomarkers in human populations and to confirm their broader applicability and clinical relevance. Future studies should investigate additional biochemical indicators and environmental variables, enhancing the comprehensive understanding required for robust forensic and clinical use.
ADDITIONAL INFORMATION
Author contributions: I. Aflanie: сonceptualization of the research idea and experimental design, coordination of the study, critical review, manuscript editing; P.W. Nurikhwan: data collection, animal handling, biochemical assays, statistical analysis, and initial drafting of the manuscript; I.K.Oktaviyanti: conducted histopathological evaluations, interpretation of histopathological data, critical revision of the manuscript; A.U. Habibah, N.A. Rahmadina: assistance in experimental procedures, participated in laboratory analysis, statistical data analysis, manuscript writing and revision. All the authors approved the version of the manuscript to be published and agreed to be accountable for all aspects of the work, ensuring that questions related to the accuracy or integrity of any part of the work are appropriately investigated and resolved.
Acknowledgements: Authors thanks to Universitas Lambung Mangkurat as the source of funding, and Windy Yuliana Budianto for her assistance in animal management during the study.
Ethics approval: The study protocol was reviewed and approved by the Ethical Committee of the Department of Medicine, Universitas Lambung Mangkurat (protocol No. 007/KEPK-FKIK ULM/EC/II/2024 signed on February 02, 2024).
Funding sources: This study is supported by Universitas Lambung Mangkurat DIPA Funding Allocation No SP-DIPA — 023.17.2.677518/2024 through the "Program Penelitian Penugasan Skema Penelitian Berbasis Kompetensi Pembiayaan Negara Bukan Pajak" on 2024 with the ID number 1331/UN8/PG/2024.
Disclosure of interests: The authors have no relationships, activities, or interests for the last three years related to for-profit or not-for-profit third parties whose interests may be affected by the content of the article.
Statement of originality: When creating this work, the authors did not use previously published information (text, illustrations, data).
Data availability statement: The editorial policy on data sharing does not apply to this work.
Generative AI: The authors used generative AI tools for language editing and grammar correction. The AI tool employed was ChatGPT (GPT-4) (https://chat.openai.com/). All original research content, data collection, analysis, interpretation, and scientific conclusions were developed by the listed authors without AI tools.
Provenance and peer-review: This article was submitted unsolicited and reviewed following the fast-track procedure. The peer review process involved one external reviewer and two members of the editorial board.
About the authors
Iwan Aflanie
Lambung Mangkurat University
Author for correspondence.
Email: iwanaflanie73@gmail.com
ORCID iD: 0009-0002-8926-1233
Indonesia, Banjarmasin
Pandji W. Nurikhwan
Lambung Mangkurat University
Email: pandji.winata@ulm.ac.id
ORCID iD: 0000-0003-1921-3172
Indonesia, Banjarmasin
Adelia U. Habibah
Lambung Mangkurat University
Email: adeliahabibah977@gmail.com
ORCID iD: 0009-0007-9448-5991
Indonesia, Banjarmasin
Naila A. Rahmadina
Lambung Mangkurat University
Email: nailamrhr@gmail.com
ORCID iD: 0009-0005-0018-9223
Indonesia, Banjarmasin
Ika K. Oktaviyanti
Lambung Mangkurat University
Email: ikoktaviyanti@ulm.ac.id
ORCID iD: 0000-0002-8487-6792
Indonesia, Banjarmasin
References
- Aziz A, Irpan M, Shaddiq S, et al. Communication Management of the Banjarmasin City River Tourism Communications in Digital Era. In: Proceeding Islamic University of Kalimantan “International Conference on Economic & Management”. Banjarmasin; 2023. Available from: https://www.researchgate.net/publication/377327007
- Patil SS. Patterns of Drowning Victims Autopsied at Al-Ameen Medical College Mortuary and District Hospital Mortuary of Bijapur-A Retrospective and Prospective Study [dissertation]. Bangalore; 2014. Available from: https://www.proquest.com/openview/
- Aflanie I, Amalia RN, Raihanati S, et al. Lung Peroxidative Index in Mouse Models Drowning in Fresh Water. In: AIP Conference Proceedings “International Conference on Bioinformatics and Nano-Medicine From Natural Resources for Biomedical Research: 3rd Annual Scientific Meeting for Biomedical Sciences. Malang: 2019. Vol. 2108, No. 1. P. 020039. doi: 10.1063/1.5110014
- Syamsun A, Lestari HI, Herlina L, Pujiarohman. Efek Submersion di Air Laut dan Air Tawar Terhadap Perubahan Histopatologis Organ Tikus Wistar. Journal of Clasroom Action Research. 2022;4(4):87–91. Available from: https://jppipa.unram.ac.id/index.php/jcar/article/view/2703/1848
- Jin F, Li C. Seawater-Drowning-Induced Acute Lung Injury: From Molecular Mechanisms to Potential Treatments. Experimental and Therapeutic Medicine. 2017;13(6):2591–2598. doi: 10.3892/etm.2017.4302
- Mallat J, Rahman N, Hamed F, et al. Pathophysiology, Mechanisms, and Managements of Tissue Hypoxia. Anaesthesia Critical Care & Pain Medicine. 2022;41(4):101087. doi: 10.1016/j.accpm.2022.101087 EDN: UMRQVG
- Girela-López E, Ruz-Caracuel I, Beltrán C, et al. Histological Changes in Skeletal Muscle During Death by Drowning. American Journal of Forensic Medicine & Pathology. 2016;37(2):118–126. doi: 10.1097/PAF.0000000000000233
- Maeda H, Zhu BL, Ishikawa T, et al. Analysis of Postmortem Biochemical Findings With Regard to the Lung Weight in Drowning. Legal Medicine. 2009;11(Suppl. 1):S269–S272. doi: 10.1016/j.legalmed.2009.01.029
- Lunetta P, Modell JH, Sajantila A. What Is the Incidence and Significance of “Dry-Lungs” in Bodies Found in Water? American Journal of Forensic Medicine & Pathology. 2004;25(4):291–301. doi: 10.1097/01.paf.0000146240.92905.7e
- Lo S, Russell JC, Taylor AW. Determination of Glycogen in Small Tissue Samples. Journal of Applied Physiology. 1970;28(2):234–236. doi: 10.1152/jappl.1970.28.2.234
- Armstrong EJ, Erskine KL. Investigation of Drowning Deaths: A Practical Review. Academic Forensic Pathology. 2018;8(1):8–43. doi: 10.23907/2018.002
- Piette MHA, De Letter EA. Drowning: Still a Difficult Autopsy Diagnosis. Forensic Science International. 2006;163(1-2):1–9. doi: 10.1016/j.forsciint.2004.10.027
- Pérez-Cárceles MD, del Pozo S, Sibón A, et al. Serum Biochemical Markers in Drowning: Diagnostic Efficacy of Strontium and Other Trace Elements. Forensic Science International. 2012;214(1-3):159–166. doi: 10.1016/j.forsciint.2011.07.047
- Marella GL, Feola A, Marsella LT, et al. Diagnosis of Drowning, an Everlasting Challenge in Forensic Medicine: Review of the Literature and Proposal of a Diagnostic Algorithm. Acta Medica Mediterranea. 2019;35(2):919–927. doi: 10.19193/0393-6384_2019_2_140 EDN: IUCMLV
- Madea B. Methods for Determining Time of Death. Forensic Science, Medicine, and Pathology. 2016;12(4):451–485. doi: 10.1007/s12024-016-9776-y EDN: UTWHLK
- Tani N, Ikeda T, Shida A, et al. Postmortem Water Contents of Major Organs With Regard to the Cause of Death. Journal of Forensic and Legal Medicine. 2019;65:48–54. doi: 10.1016/j.jflm.2019.05.003
- Belsey SL, Flanagan RJ. Postmortem Biochemistry: Current Applications. Journal of Forensic and Legal Medicine. 2016;41:49–57. doi: 10.1016/j.jflm.2016.04.011
- McEwen BJ, Gerdin J. Veterinary Forensic Pathology. Veterinary Pathology. 2016;53(5):1049–1056. doi: 10.1177/0300985815625757
Supplementary files





